Tanto en niños como adultos, los traumatismos dentales suelen ser una situación de urgencia en odontología 
Hoy vamos a hablar sobre los tipos de traumatismos y cómo reaccionar ante un golpe o traumatismo dental.
Ante todo, hay que considerar el estado general del niño o adulto, es decir, si ha habido pérdida de la conciencia, si hay heridas importantes en la cara o si ha sospecha de alguna fractura ósea (nariz, mandíbula,…), lo primero será acudir a un centro médico de urgencias para que realicen el diagnóstico oportuno ![]()
Cuando el traumatismo se da en un diente temporal o de leche, el objetivo principal será evitar el daño en el diente permanente, por lo que un control rápido por el dentista será esencial para descartar problemas.
En dientes definitivos, pueden darse varios casos:
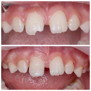
- Que el diente se fracture: en ese caso habría que acudir al dentista tan pronto como se pueda para evitar complicaciones y pautar el tratamiento que precise. Si se puede llevar el fragmento de diente fracturado en un poco de suero o agua, en la clínica se colocará reestableciendo su forma original. En caso contrario se hará una reconstrucción con resinas compuestas.
- Que el diente se desplace de su sitio: De igual forma la pronta visita al dentista será lo que mejore el pronóstico del diente.
- Que el diente se caiga o se avulsione: en este caso, hay que acudir DE INMEDIATO a la clínica. Es la única urgencia verdadera que existe en odontología. Habrá que llevar el diente perdido en un poco de agua o suero intentando manipularlo lo menos posible. En la clínica se procederá a la reimplantación siempre que sea posible. El pronóstico mejorará cuanto antes se pueda realizar el tratamiento.
En todos los casos, incluso si sólo hay lesión de los tejidos blandos (encía) habrá que hacer un plan de seguimiento y revisiones periódicas para descartar posibles problemas que puedan surgir con el paso del tiempo y si ocurrieran poder ponerles tratamiento lo antes posible para mejorar siempre el pronóstico del diente y conseguir mantenerlo con salud.

